Thanatophoric dysplasia, type I

Carlos Sanchez, MD

20 de noviembre 184, Santiago Ixc. Nayarit México. CP: 63300

This is a fetus at 34 weeks gestation with Thanatophoric dysplasia, type I.  The mother is a 30-year-old woman, G2P1 with an unremarakble medical history. She had a previously healthy child. Her scan showed polyhydramnios and discordance in fetal biometry. The parameters recorded were:

  • Femur length: 20.5 mm
  • Humerus length: 24 mm
  • Foot length: 55 mm
  • Abdominal circumference: 331 mm
  • Thoracic circumference: 225 mm
  • Left kidney length: 41 mm

Antenatal scans and postnatal photographs are shown:

Chest to abdomen discrepancy (both scans are not at the same scale)

td1
td4

td3
td5

Ventriculomegaly:

td2

Platyspondyly:

td7

Normal 4-chamber view:

td8

Short limbs:

td9
td10
td6

Frontal bossing:

td11

Polyhydramnios:

td12

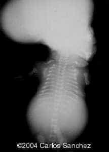
Postnatal radiograph:

td14

Postnatal photographs:

td15
td 18
td17

td16

Discussion Board

Start a discussion about this article
Add to Favorites Favorite

Menu