Prenatal diagnosis of fetal gallstones

Fabrice Cuillier, MD*, K. Comalli Dillon, BA, RDMS**

* Department of Gynecology, Felix Guyon Hospital, 97400 Saint- Denis, Ile de la Reunion, France; tel: 0262 90 55 22; fax : 0262 90 77 30;
** Diagnostic Medical Sonographer, Editor, Translator, Novato, California.

Case report

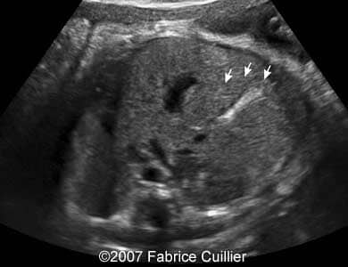
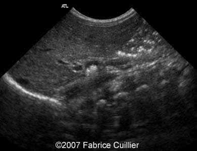
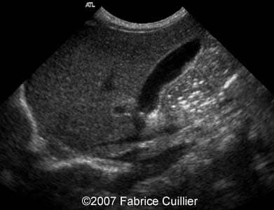
A 30-year-old patient, G3P2, was referred to our clinic at 36 weeks of gestational age after hyperechoic foci were seen in the fetal gallbladder on ultrasound. 13- and 22-week sonographic examinations were unremarkable. The 36-week ultrasound evaluation was normal except for an elongated echogenic mass seen in the gallbladder (Images 1A, 1B, 1C, 1D). Neither ascites nor hydrops were seen. The gallbladder appearance was identical on sonographic re-evaluation at 37 weeks GA (Images 3A, 3B). At 38 weeks of gestational age, a healthy female infant weighing 3200 g was born. There was no evidence of hematologic incompatibility, sepsis, or jaundice. Laboratory values including those for the cystic fibrosis gene, hemoglobinopathy, and liver functions were normal. On the fifth day of life, ultrasound was performed, showing a gallbladder of normal size containing several gallstones (Images 5A, 5B, 5C, 5D).

Images 1A, 1B. Transverse abdominal section at 36 weeks of gestational age through the fetal abdomen demonstrating a long, non-shadowing echogenic mass within the gallbladder.

1A
1B

Images 1C, 1D. Transverse abdominal section at 36 weeks of gestational age through the fetal abdomen demonstrating a long, non-shadowing echogenic mass within the gallbladder.

1C
1D

Image 2. A Doppler sonogram at 36 weeks of gestational age showing gallbladder echogenic foci.

2

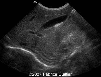
Images 3A, 3B. Sonogram obtained at 38 weeks of gestational age showing multiple small echogenic foci in the fetal gallbladder.

3A
3B

Images 4A, 4B. Postnatal sonogram showing multiple small echogenic foci in the fetal gallbladder.

5A
5B

Images 4D, 4E. Postnatal sonogram showing multiple small echogenic foci in the fetal gallbladder.

5C
5D

Discussion Board

Start a discussion about this article
Add to Favorites Favorite

Menu