Multicystic kidney disease, unilateral

Fabrice Cuillier, MD*, Deshayes M, MD**, Lemaire P, MD**

Dept of Obstetrics and Gynecology, Hôpital Félix Guyon ** Cabinet d"Echographie, Route de Moufia Saint-Denis, Reunion Island, France. Ph : 0262 90 55 22.

This is a 24- year-old-primigravida scanned at our unit at 21 weeks. During the first trimester, the nuchal translucency and the triple test were normal. At the end of the second trimester, the sonographer diagnosed a left polycystic kidney. The right kidney was normal with a normal corticomedular differentiation. The bladder was also normal. The patient refused additional investigations. We performed a scan at 21 weeks. The ultrasound findings were:

  • normal bladder and two umbilical arteries
  • amniotic fluid was normal
  • normal right kidney with a normal corticomedular differentiation
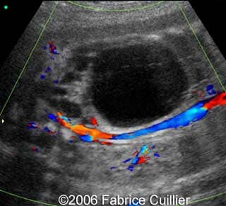
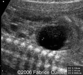
  • an abnormal polycystic left kidney (34 X 17 mm) with an abnormal corticomedullar differentiation. This kidney was on the lumbar fossa.

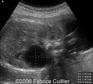
At 24 and 26 weeks, the left kidney lesion had increased. At 34 and 37 weeks, the anomalies were the same. The baby was delivered vaginally (male, 3000 g). At day five, the kidney abnormalities were confirmed. Nevertheless the creatinine level was normal. One month later, a scan revealed a normal right kidney (50 mm) and a left kidney with cysts. The creatinine level was in the normal range. The child was operated (left nephrectomy). The diagnosis of multicystic kidney disease was confirmed.

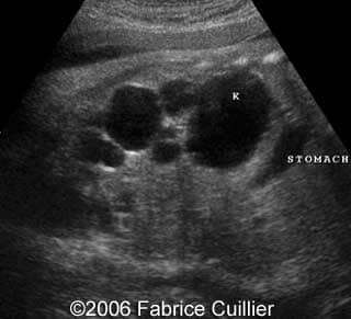
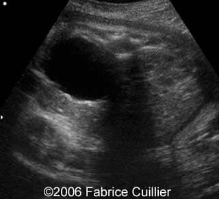
Transverse view of the normal right kidney and the abnormal left kidney

1b
1d

2a
1c

2c
2d

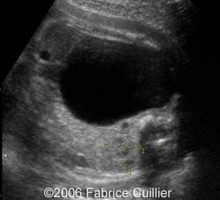
Note the large cyst

3b
4a

4b
4c

5b
5c

6a
6b

Discussion Board

Start a discussion about this article
Add to Favorites Favorite

Menu