Multicystic kidney disease, 3D representation

Cuillier F, MD, Lemaire P, MD, Deshayes M, MD

LegendCuillier F, MD*, Lemaire P, MD**, Deshayes M, MD**

* Department of Gynecology, Félix Guyon' Hospital, ** Sonographer, Moufia'street, Saint-Denis, Ile de la Réunion, France.

This is a 20 year-old woman. The first scan at 13 weeks was normal. The triple test performed at 16 weeks was normal too. At 17 weeks, bilateral hyperechoic kidney were seen with no corticomedullar differentiation. The bladder was not seen at 19 weeks. There was oligohydramnios at 20 weeks and an intrauterine death was diagnosed. The anatomopathological analysis was refused by the parents.

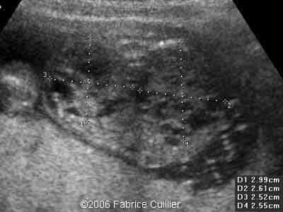
2D transverse view at 17 weeks showing bilateral hyperechoic kidney with no corticomedullary differentiation

1A.
1B.


2D parasagittal view at 17 weeks

2


3D coronal view at 17 weeks

3


2D transverse view at 19 weeks

4B


2D parasagittal view at 19 weeks

5


2D transverse view of the kidney at 19 weeks (left) and of the stomach (right).

6


3D coronal view of the kidney at 19 weeks
7

 

Discussion Board

Start a discussion about this article
Add to Favorites Favorite

Menu