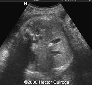
Gallstones Hector Quiroga, MD Article Published: May 2, 2006 Barquisimeto, Venezuela These are some imagesĀ of a fetus with a few gallstones diagnosed at 32 weeks. Discussion Board Start a discussion about this article Add to Favorites Favorite