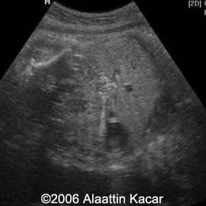
Gallstones Alaattin Kacar, MD Sureyya Paksoy MD Burhan Seker, MD Ender Birgul, MD Article Published: Jun 8, 2006 Balikesis, Turkey These are several images of a fetus with multiple gallstones Discussion Board Start a discussion about this article Add to Favorites Favorite