Ectopic pregnancy, tubal

Fabrice Cuillier, MD

Department of Obstetrics and Gynecology, Hôpital FÊlix Guyon  **Departement of Radiology, Hôpital FÊlix Guyon, Reunion Island, France.

These are some cases of ectopic pregnancy (GEU) using the 2D and 3D scans.

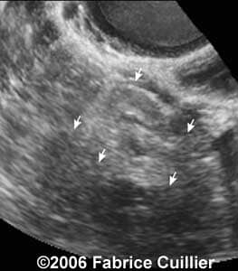
Case 1

case1b
case1a

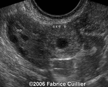
Case 2

case16a
case2a

Case 3

case3a
case3b

Case 4

case4a
case4b

Case 5

case5a
case5b

Case 6

case6a
case6b

Case 7

case7a
case7b

Case 8

case8a
case8b

Case 9

case9a
case9b

Case 10

case10a
case10b

Case 11

case11b
case11a

Case 12

case12a
case12b

Case 13

case13a
case13b

Case 14

case14a
case14b

Case 15

case11a
case15a

Case 16

case16a
case16b

Discussion Board

Start a discussion about this article
Add to Favorites Favorite

Menu