Cleft lip, unilateral

B. H. Syla S. Fetiu S. Tafarshiku.

Bajram H. Syla, MD*; Shqipe Fetiu, MD**; Shpresa Tafarshiku, MD*.

*   Gynecological Clinic  “Dr. Bajrami” , Ferizaj , Kosova;
**  University Clinical Center – Gynecological Clinic, Pristine, Kosova.

Case report

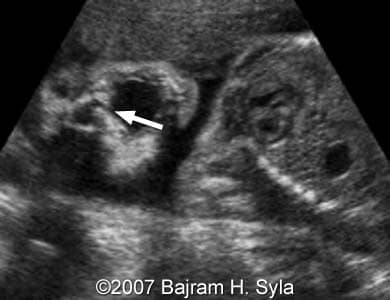
The following images show a case of an unilateral cleft lip detected at 26 weeks of pregnancy.

Images 1 and 2: The image 1 shows a coronal scan of the fetal mouth with the cleft of the upper lip (arrow). The image 2 shows a coronal scan of the opened fetal mouth with the cleft of the upper lip (arrow).

1
2

Images 3 and 4: The image 3 shows a coronal scan of the fetal head, aligned with the eyes and upper lip, showing the cleft of the upper lip (arrow). The image 4 shows postnatal appearance of the neonate with the cleft of the upper lip. 

3
4

 

Discussion Board

Start a discussion about this article
Add to Favorites Favorite

Menu