Case of the Week # 72

Renato Ximenes, MD

May 3-16, 2002

Centrus, Campinas, Brazil

This second trimester fetus demonstrates the following findings:

case0072-1
case0072-2
case0072-3
case0072-4
case0072-5
case0072-6
case0072-7
case0072-8
case0072-10
case0072-9

There is also a short video-clip

What are the findings and the diagnosis ?

View the Answer Hide the Answer

Answer

This second trimester fetus demonstrates a very thick nuchal edema with cystic hygroma:

case0072-1
case0072-2

The cystic hygroma extends down the back of the fetus and pleural effusions are visible:

case0072-3
case0072-4
case0072-5

The cord is thin and poorly coiled, a sign associated with decrease fetal motion:

case0072-6

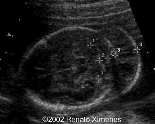
The critical image is the soft-tissue webbing of the rhizo-mesomelic joints. This is more than the simple contractures seen in many of the arthrogryposis.

case0072-7
case0072-8

The 3D reconstructions nicely demonstrate the webbing of the neck, low-set ears and micrognathia.

case0072-10
case0072-9

There is also a short video-clip

Thus the findings are:

  • thick nuchal edema with cystic hygroma
  • pleural effusions
  • poorly coiled, (decrease fetal motion ?)
  • webbing of the joints

With so many findings it is convenient to search OMIM (in the Search tab on the main menu). However putting too many criteria in OMIM may return no results. For those who had not joined TheFetus.net last time i mentioned that little trick a simple first pass search is to count how many entities are listed fro each criteria . For instance in this case there are:

# of entries  keyword
14 cystic hygroma 
12 pleural effusion
10 webbing of the joints

So "webbing of the joints" is the most discriminant keyword. Combining "Cystic hygroma" and "webbing of the joints" actually does not yield the correct diagnosis. Among the choices offered by both "Cystic hygroma" and "webbing of the joints" is Pterygium syndrome which is what that baby did indeed have.

Pterygium syndrome Izquierdo, Castellano, Clericuzio, Nevils, Maciulla, Curet September 1993 P I, P
Pterygium syndrome Jeanty, Silva May 1999 C I
Pterygium syndrome

Suma, Marini, Bellitti, Serpotta, Saia

January 1994 P I, P

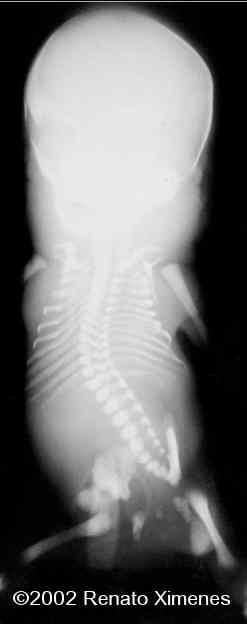
The baby and radiograms

case0072-11
case0072-12
case0072-13
case0072-14
case0072-15
case0072-16
case0072-17

Discussion Board

Start a discussion about this case
Add to Favorites Favorite

Menu