Case of the Week #646

Frantisek Grochal
Femicare, Center of prenatal ultrasonographic diagnostics, Martin, Slovakia

Posting Dates: Mar 15, 2026 - Mar 30, 2026

A 29-year-old primigravida with an unremarkable medical history underwent fetal ultrasound examinations at 22+3 and 31+4 weeks of gestation. The following images and video clips demonstrate the findings.

Image 1
Video 1 © 2026 Grochal
Image 2
Video 2 © 2026 Grochal
Image 3
Video 3 © 2026 Grochal
Image 4
Video 4 © 2026 Grochal
Image 5
Video 5 © 2026 Grochal

View the Answer Hide the Answer

Answer

We present a case of intrathoracic extralobar pulmonary sequestration (ELS).

During the course of pregnancy, the lesion showed progressive regression in size and became nearly indistinguishable from the adjacent lung parenchyma in the third trimester. No cardiac displacement was observed. The markedly reduced lesion remained visible on sagittal views, together with a persistent systemic feeding artery arising from the descending aorta. The female infant was delivered at term without complications. Postnatal chest radiography showed no apparent abnormality. However, follow-up ultrasound examination at one month of age confirmed the presence of a small residual lesion consistent with pulmonary sequestration. Given the absence of symptoms and the good clinical condition, elective surgical resection has been deferred and is planned at 5–6 years of age.

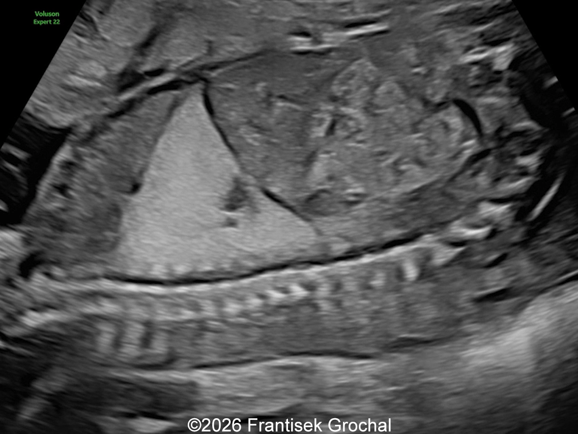
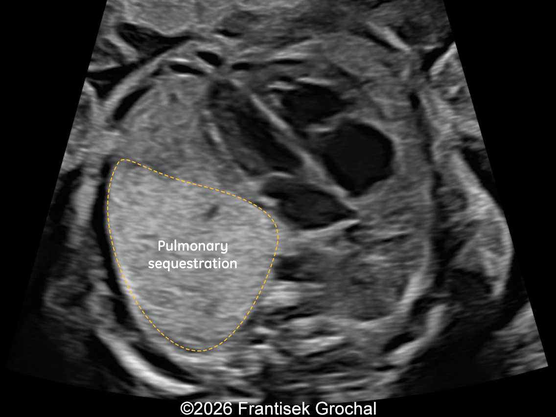
22+3 weeks of gestation – sagittal view demonstrating a well-circumscribed, triangular pulmonary sequestration.
Image 1 22+3 weeks of gestation – sagittal view demonstrating a well-circumscribed, triangular pulmonary sequestration.
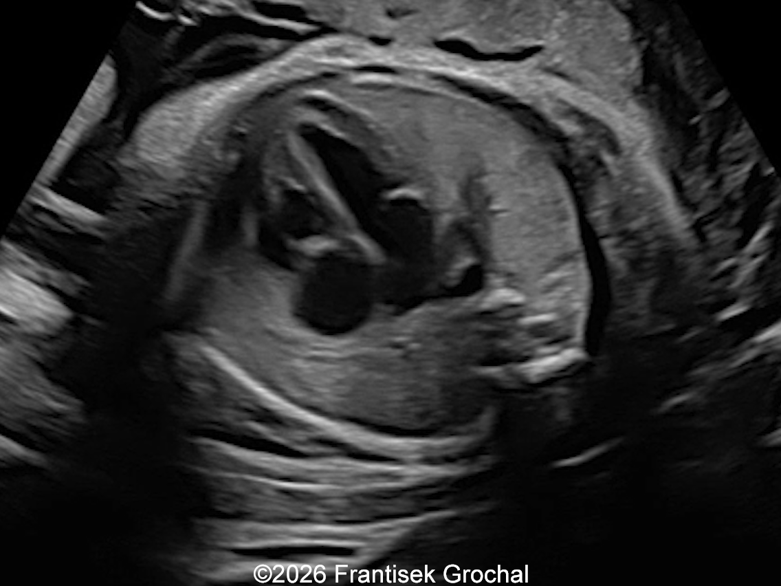
22+3 weeks of gestation – transverse thoracic view at the level of the four-chamber cardiac view demonstrating a well-circumscribed hyperechoic pulmonary sequestration. The heart is displaced to the right.
Image 2 22+3 weeks of gestation – transverse thoracic view at the level of the four-chamber cardiac view demonstrating a well-circumscribed hyperechoic pulmonary sequestration. The heart is displaced to the right.
22+3 weeks of gestation – sagittal view demonstrating a well-circumscribed, triangular pulmonary sequestration; color Doppler imaging demonstrates a systemic feeding artery arising from the descending abdominal aorta.
Image 3 22+3 weeks of gestation – sagittal view demonstrating a well-circumscribed, triangular pulmonary sequestration; color Doppler imaging demonstrates a systemic feeding artery arising from the descending abdominal aorta.
31+4 weeks – sagittal view demonstrating reduced size of the pulmonary sequestration with a small hypoechoic area within the lesion; color Doppler imaging still demonstrates a systemic feeding artery arising from the descending abdominal aorta.
Image 4 31+4 weeks – sagittal view demonstrating reduced size of the pulmonary sequestration with a small hypoechoic area within the lesion; color Doppler imaging still demonstrates a systemic feeding artery arising from the descending abdominal aorta.
31+4 weeks – transverse thoracic view showing normal cardiac position; the pulmonary sequestration is barely discernible.
Image 5 31+4 weeks – transverse thoracic view showing normal cardiac position; the pulmonary sequestration is barely discernible.

Discussion

Extralobar pulmonary sequestration (ELS) is a rare congenital bronchopulmonary malformation characterized by non functioning lung tissue that lacks communication with the tracheobronchial tree and receives its arterial supply from the systemic circulation, most commonly from the descending thoracic aorta [1,2]. In contrast to intralobar sequestration, ELS possesses its own pleural covering and typically presents as a well defined, triangular or ovoid echogenic mass adjacent to the lower lung lobes or within the posterior mediastinum [2]. Associated findings may include congenital diaphragmatic hernia, pulmonary hypoplasia, congenital cystic adenomatoid malformation, congenital lobar emphysema or bronchogenic cyst [3].

Prenatal sonography usually demonstrates a wedge-shaped, hyperechogenic intrathoracic mass, though it can be subdiaphragmatic in 30% of cases [3,4]. The identification of a systemic feeding artery on color Doppler is considered pathognomonic and remains the most reliable diagnostic feature, allowing differentiation from other echogenic lung lesions such as congenital pulmonary airway malformation (CPAM), hybrid lesions, bronchogenic cysts, or neuroblastoma [2,3]. In the present case, the persistent arterial vessel arising from the descending aorta confirmed the diagnosis despite near complete regression of the parenchymal component during late gestation.

The natural history of pulmonary sequestration diagnosed prenatally is variable [3-5]. Approximately 80% of lesions exhibit partial spontaneous regression around 26 weeks gestation [4], and cases of antenatal involution or disappearance have been documented [6]. While mediastinal shift occurs in 30% of cases, cardiac compression, polyhydramnios and hydrops are uncommon and usually limited to larger lesions [3-5]. Approximately 7% of patients with extralobar pulmonary sequestration will develop hydrops, though survival rates are high despite these findings [4,6]. In a literature review including 13 patients with pulmonary sequestration who developed hydrops, 7 patients underwent fetal intervention including fetal resection, paracentesis, thoracoamniotic shunting, and alcohol ablation of the vascular pedicle. All fetuses with hydrops survived whether or not they underwent intervention [6]. 

Postnatal management remains debated. While some centers advocate routine early surgical resection to prevent infection, torsion, or malignant transformation, others support conservative management in asymptomatic infants, with delayed or elective surgery [2,5,7]. Current trends favor individualized decision making. Lesion size measured by CCAM volume ratio (CVR) > 0.75 increases the odds of respiratory symptoms at birth by a ratio of 20 [4]. For small, asymptomatic ELS with stable imaging findings, delayed elective resection in early childhood is considered safe and avoids neonatal anesthesia risks [7]. The planned surgery at 5–6 years in this case aligns with this conservative strategy.

This case illustrates several teaching points relevant to prenatal diagnosis:

  • Doppler identification of a systemic feeding artery is crucial for diagnosis.
  • Significant third trimester regression does not exclude residual postnatal disease.
  • Absence of mediastinal shift predicts an excellent perinatal outcome.
  • Postnatal follow up imaging is mandatory even when prenatal “disappearance” is observed.

Overall, isolated intrathoracic ELS carries an excellent prognosis, and prenatal recognition allows appropriate counseling, avoidance of unnecessary intervention, and tailored postnatal planning.


References

  1. Savic B, Birtel FJ, Tholen W, et al. Lung sequestration: report of seven cases and review of 540 published cases. Thorax. 1979;34:96–101.
  2. Corbett HJ, Humphrey GME. Pulmonary sequestration. Paediatr Respir Rev. 2004;5:59–68.
  3. Yildirim G, Güngördük K, Aslan H, et al. Prenatal diagnosis of an extralobar pulmonary sequestration. Arch Gynecol Obstet. 2008;277:181–183.
  4. Riley JS, Urwin JW, Oliver ER, et al. Prenatal growth characteristics and pre/postnatal management of bronchopulmonary sequestrations. J Pediatr Surg. 2018;53(2):265–269.
  5. Langer B, Donato L, Riethmuller C, et al. Spontaneous regression of fetal pulmonary sequestration. Ultrasound Obstet Gynecol. 1995;6(1):33–39.
  6. Hung JH, Shen SH, Guo WY, et al. Prenatal diagnosis of pulmonary sequestration by ultrasound and magnetic resonance imaging. J Chin Med Assoc. 2008 Jan;71(1):53-7.
  7. Stanton M. The argument for a non‑operative approach to asymptomatic lung lesions. Semin Pediatr Surg. 2015;24:183–186.

Discussion Board

Start a discussion about this case

Winners

Azar Farajov Profile Pic

Azar Farajov Azerbaijan Physician

Zhanna Bondarchuk Profile Pic

Zhanna Bondarchuk Ukraine Physician

Emad Abdelrahim  Elshorbagy Profile Pic

Emad Abdelrahim Elshorbagy Egypt Physician

Dianna Heidinger Profile Pic

Dianna Heidinger United States Sonographer

Yulia Sologub Profile Pic

Yulia Sologub Russian Federation Physician

Pawel Swietlicki Profile Pic

Pawel Swietlicki Poland Physician

belen garrido Profile Pic

belen garrido Spain Physician

Andrii Averianov Profile Pic

Andrii Averianov Ukraine Physician

Alexandr Krasnov Profile Pic

Alexandr Krasnov Ukraine Physician

Mayank Chowdhury Profile Pic

Mayank Chowdhury India Physician

Nutan Thakur Profile Pic

Nutan Thakur India Physician

Julio Navarro Profile Pic

Julio Navarro El Salvador Physician

Vladimir Lemaire Profile Pic

Vladimir Lemaire United States Physician

Shilpen Gondalia Profile Pic

Shilpen Gondalia India Physician

Ivan Ivanov Profile Pic

Ivan Ivanov Russian Federation Physician

Boujemaa Oueslati Profile Pic

Boujemaa Oueslati Tunisia Physician

Tatiana Koipish Profile Pic

Tatiana Koipish Belarus Physician

carlos lopez Profile Pic

carlos lopez Venezuela Physician

CHARLES SARGOUNAME Profile Pic

CHARLES SARGOUNAME India Physician

RANJAN DUTTA Profile Pic

RANJAN DUTTA India Physician

Peter conner Profile Pic

Peter conner Sweden Physician

Bahauddin Sallout Profile Pic

Bahauddin Sallout Saudi Arabia Physician

Kimberly Delaney Profile Pic

Kimberly Delaney United States Sonographer

SUNIL SHAH Profile Pic

SUNIL SHAH India Physician

Yuliya Taustukha Profile Pic

Yuliya Taustukha Belarus Physician

CHEN YANG Profile Pic

CHEN YANG China Physician

Amparo Gimeno Profile Pic

Amparo Gimeno Spain Physician

Elena Andreeva Profile Pic

Elena Andreeva Russian Federation Physician

Muradiye YILDIRIM Profile Pic

Muradiye YILDIRIM Turkey Physician

ALBANA CEREKJA Profile Pic

ALBANA CEREKJA Italy Physician

Irina Kuchma Profile Pic

Irina Kuchma United States Sonographer

Eti Zetounie Profile Pic

Eti Zetounie Israel Sonographer

SAMUEL GELVEZ TELLEZ Profile Pic

SAMUEL GELVEZ TELLEZ Colombia Physician

Murat Cagan Profile Pic

Murat Cagan Turkey Physician

Nguyen Thac Viet Profile Pic

Nguyen Thac Viet Viet Nam Physician

Büşra Cambaztepe Profile Pic

Büşra Cambaztepe Turkey Physician

Fatih Akkuş Profile Pic

Fatih Akkuş Turkey Physician

Gayane Begjanyan Profile Pic

Gayane Begjanyan Armenia Physician

Ionut Valcea Profile Pic

Ionut Valcea Romania Physician

Đặng Mai Quỳnh Profile Pic

Đặng Mai Quỳnh Viet Nam Physician

Luis Fernando Acosta Alfaro Profile Pic

Luis Fernando Acosta Alfaro Mexico Physician

Hien Nguyen Van Profile Pic

Hien Nguyen Van Viet Nam Physician

Kathrine Montagne Profile Pic

Kathrine Montagne United States Sonographer

Miguel Sanchez Profile Pic

Miguel Sanchez Mexico Physician

Almaz Kinzyabulatov Profile Pic

Almaz Kinzyabulatov Russian Federation Physician

Kareem Haloub Profile Pic

Kareem Haloub Australia Physician

Zuzana Briešková Profile Pic

Zuzana Briešková Slovakia Physician

Dr Monika Sharma Profile Pic

Dr Monika Sharma India Physician

Ann-Christin Dr. Sönnichsen Profile Pic

Ann-Christin Dr. Sönnichsen Germany Physician

SIMON CASTRO Profile Pic

SIMON CASTRO Mexico Physician

Annette Reuss Profile Pic

Annette Reuss Germany Physician

Vandana Yakub Profile Pic

Vandana Yakub India Physician

Arati Appinabhavi Profile Pic

Arati Appinabhavi India Physician

Seadet Zeynalova Profile Pic

Seadet Zeynalova Azerbaijan Physician

shruti Agarwal Profile Pic

shruti Agarwal India Physician

Vu The Anh Profile Pic

Vu The Anh Viet Nam Physician

Jay Vaishnav Profile Pic

Jay Vaishnav India Physician

CHERYL TURNER Profile Pic

CHERYL TURNER United States Sonographer

YULIA VISHNEVSKAYA Profile Pic

YULIA VISHNEVSKAYA Russian Federation Physician

Perrine Riou-Kerangal Profile Pic

Perrine Riou-Kerangal French Polynesia Sage-femme échographiste

vaibhav jaiswal Profile Pic

vaibhav jaiswal India radiologist

shay kevorkian Profile Pic

shay kevorkian Israel Physician

Hannah Carris Profile Pic

Hannah Carris United States Sonographer

Ismail Guzelmansur Profile Pic

Ismail Guzelmansur Turkey Physician

Shelby Duncan Profile Pic

Shelby Duncan United States Sonographer

Sruthi Pydi Profile Pic

Sruthi Pydi India Physician

Mariam Tezhaeva Profile Pic

Mariam Tezhaeva United Kingdom Physician

Rohit Sanghani Profile Pic

Rohit Sanghani India Physician

philip pattyn Profile Pic

philip pattyn Belgium Physician

Coskun Umit Profile Pic

Coskun Umit Turkey Physician

Nguyễn Lê Hoàng Profile Pic

Nguyễn Lê Hoàng Viet Nam Physician

Denys Saitarly Profile Pic

Denys Saitarly Israel Physician

Le Tien Dung Profile Pic

Le Tien Dung Viet Nam Physician

Tetiana Ishchenko Profile Pic

Tetiana Ishchenko Ukraine Physician

Costin Radu Lucian Profile Pic

Costin Radu Lucian Romania Physician

usha E S Profile Pic

usha E S India Physician

Liliya Lazukina Profile Pic

Liliya Lazukina Russian Federation Physician

Le Duc Profile Pic

Le Duc Viet Nam Physician

Philippe Viossat Profile Pic

Philippe Viossat Antarctica Consultant

Hana Habanova Profile Pic

Hana Habanova Slovakia Physician

Yücel Kaya Profile Pic

Yücel Kaya Turkey Physician

Gnanasekar Periyasamy Profile Pic

Gnanasekar Periyasamy India Physician

Caroline Gregoir Profile Pic

Caroline Gregoir Belgium Physician

Shamal Patel Profile Pic

Shamal Patel India Radiologist

Jagdish Suthar Profile Pic

Jagdish Suthar India Physician

Petra Tallova Profile Pic

Petra Tallova Slovakia Physician

Valerie Finkelstein Profile Pic

Valerie Finkelstein United States Sonographer

ASHLEA HARDIN Profile Pic

ASHLEA HARDIN United States Sonographer

Kurmanzhan Balmukhambetova Profile Pic

Kurmanzhan Balmukhambetova Kazakhstan Physician

Ali Ozgur Ersoy Profile Pic

Ali Ozgur Ersoy Turkey Physician

Lucia Bobik Profile Pic

Lucia Bobik Slovakia Physician

JOSE LARIOS Profile Pic

JOSE LARIOS Mexico Physician

Manuel Rodriguez Profile Pic

Manuel Rodriguez Mexico Physician

Viktorya Mkrtchyan Profile Pic

Viktorya Mkrtchyan Armenia Physician

ZHANNA Kurmangaliyeva Profile Pic

ZHANNA Kurmangaliyeva Kazakhstan Physician

Mukesh Kannan Profile Pic

Mukesh Kannan India Consultant radiologist

Albert Guarque Rus Profile Pic

Albert Guarque Rus Spain Physician

KIM SOCHETRA Profile Pic

KIM SOCHETRA Cambodia Physician

JESUS ENRIQUE VEGA JIMENEZ Profile Pic

JESUS ENRIQUE VEGA JIMENEZ Mexico Physician

Dang Thinh Nguyen Profile Pic

Dang Thinh Nguyen Viet Nam Physician

Pedro Jesús Sánchez Sánchez Profile Pic

Pedro Jesús Sánchez Sánchez Spain Physician

ANDRES ARENCIBIA MOLINA Profile Pic

ANDRES ARENCIBIA MOLINA United States Physician

Maria Bulanova Profile Pic

Maria Bulanova Russian Federation Physician

burcu gedik Profile Pic

burcu gedik Turkey Physician

Genevieve Mika Profile Pic

Genevieve Mika United States Sonographer

Simen Vergote Profile Pic

Simen Vergote Canada Physician

MISCHEL BARTIE Profile Pic

MISCHEL BARTIE United States Sonographer

Mert Eyupoglu Profile Pic

Mert Eyupoglu Turkey Physician

Marina Karpeko Profile Pic

Marina Karpeko Belarus Physician

MEHMET AYGÜN Profile Pic

MEHMET AYGÜN Turkey Physician

Gulten Rafibeyli Profile Pic

Gulten Rafibeyli Azerbaijan Physician

Truong Tran Duc Profile Pic

Truong Tran Duc Viet Nam Physician

Ayten Sadigova Profile Pic

Ayten Sadigova Azerbaijan Physician

Aynur Garibova Profile Pic

Aynur Garibova Azerbaijan Physician

Ulviyya Jafarova Profile Pic

Ulviyya Jafarova Azerbaijan Physician

Aida Nadirova Profile Pic

Aida Nadirova Azerbaijan Physician

Elnara Baghirova Profile Pic

Elnara Baghirova Azerbaijan Physician

Mikael Huhtala Profile Pic

Mikael Huhtala Finland Physician

Nataliia Antonenko Profile Pic

Nataliia Antonenko Ukraine Physician

Smurova lidia Profile Pic

Smurova lidia Russian Federation Physician

Madina Akhmetova Profile Pic

Madina Akhmetova Kazakhstan Physician

Remi Alvarado Profile Pic

Remi Alvarado United States Sonographer

Thanh Tung Bui Profile Pic

Thanh Tung Bui Viet Nam Physician

Madhurima Keerthy Profile Pic

Madhurima Keerthy United States Physician

salma jabak Profile Pic

salma jabak United Kingdom Physician

Phương Diện Nguyễn Profile Pic

Phương Diện Nguyễn Viet Nam Physician

Georgia Rainey Profile Pic

Georgia Rainey Australia Sonographer

Brittani O’Reilly Profile Pic

Brittani O’Reilly Canada Sonographer

Alexandra Andreeva Profile Pic

Alexandra Andreeva Russian Federation Physician

Add to Favorites Favorite

Menu