Case of the Week # 56

Philippe Jeanty, MD, PhD and Cheryl Turner, RDMS

August 3-23, 2001

Women's Health Alliance, Nashville, TN

This 2nd trimester fetus has the following images (actually, these images remained unchanged for several weeks)

Case0056-3
Case0056-1
Case0056-2
Case0056-4
Case0056-5
Case0056-6
Case0056-7
Case0056-8
Case0056-9

In view of the finding a surgical procedure was attempted, but ultimately proved unsuccessful.

What is (are) the finding(s) and diagnosis ?

View the Answer Hide the Answer

Answer

This 2nd trimester fetus has the following images (actually, these images remained unchanged for several weeks)

case0056-3
case0056-1
case0056-2
case0056-4
case0056-5
case0056-6
case0056-7
case0056-8
case0056-9

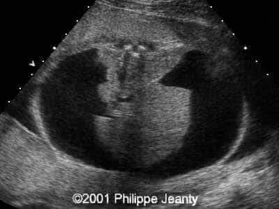
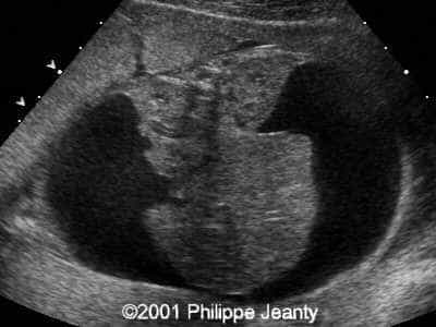
The findings are:

  • very enlarged lungs on both sides
  • inversion of the diaphragm that is convex towards the abdomen
  • small compressed heart
  • ascites but no generalized hydrops (no skin thickening for instance)

A common diagnosis for brightly echogenic lungs is Congenital lobar adenomatosis, type III. Yet this diagnosis is usually unilateral and not bilateral (although Congenital lobar adenomatosis, bilateral, type III can happen).

A much more common diagnosis for a bilateral echogenic lung associated with microcardia and ascites (Budd-Chiari phenomenon) is Larynx, atresia or as reported by several the CHAOS syndrome which stands for Congenital High Airway Obstruction Syndrome (which is typically laryngeal or tracheal atresia). This is the diagnosis that was indeed suspected in this fetus.

The patient was then referred to Dr. Ruben Quintero who managed to pass an endoscope in the fetal trachea. He created an opening, but unfortunately was not able to create a communication between the proximal and distal portion of the larynx, instead ending in the thoracic cavity. The fetus did well after the surgery (no premature delivery), although there was no improvement, and after a few more weeks of worsening of the lung condition the parents elected to terminate the pregnancy.

Discussion Board

Start a discussion about this case
Add to Favorites Favorite

Menu