Case of the Week # 497

Dr Ho F.1, Dr Cuillier F.2, Dr Balu M.1, Dr Robin S.3

June 6, 2019 - June 20, 2019

1. Radiologist, private sector, 97400 Saint-Denis, Reunion Island, France.
2. Department of Obstetrics, Felix Guyon Hospital, Reunion Island, France.
3. Department of neuropediatrics, Felix Guyon Hospital, Reunion Island, France.

Case report

This patient had been referred to our hospital after abnormal brain findings at the 2nd trimester screening.

Previous personal, familial and obstetrical history is non relevant.

Our US examination at 27 weeks of pregnancy revealed the following anomalies, and then we decided to performed an fetal brain MRI at 28 weeks of pregnancy.

Images 1-3.

1
2
3

Images 4-11.

4
5
6
7
8
9
10
11

Images 12-16.

12
13
14
16
15

View the Answer Hide the Answer

Answer

Case report

This patient had been referred to our hospital after abnormal brain findings at the 2nd trimester screening.

Previous personal, familial and obstetrical history is non relevant.

Our US examination at 27 weeks of pregnancy revealed the following anomalies, and then we decided to performed a fetal brain MRI at 28 weeks of pregnancy.

Images 1-3: in the left frontal lobe, hyperechoic with hypoechoic center lesion within the deep and periventricular white matter. Interestingly, this lesion has no mass effect on the lateral ventricle, and it has smooth margins.

1
2
3

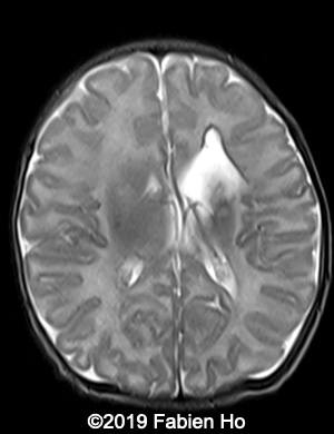
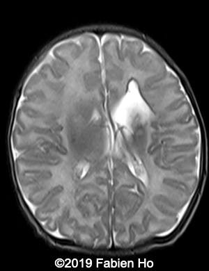
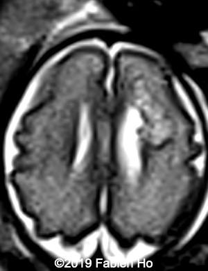
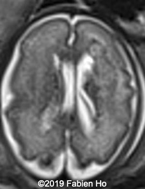
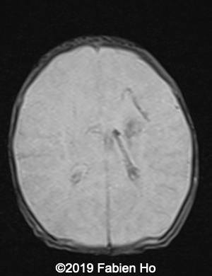
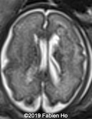
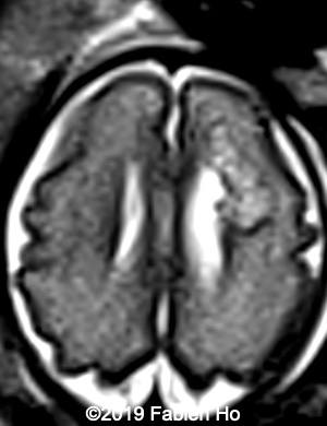
Images 4-11, fetal brain MRI at 28 weeks: the left frontal lesion hence shows DWI hyperintensity, with T2* and T1 peripheral hyperintensity: ischemia with peripheral subacute hemorrhage. Note also that there is an associated blood clot in the left lateral ventricle. There is no obvious mass effect, nor peripheral edema. All these findin>gs are very suggestive of a clastic lesion.
Axial T2w

4
5

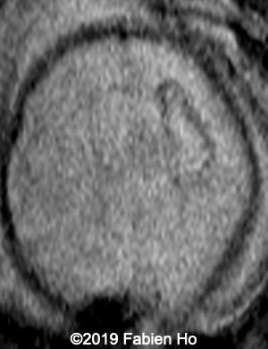
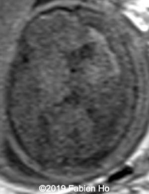
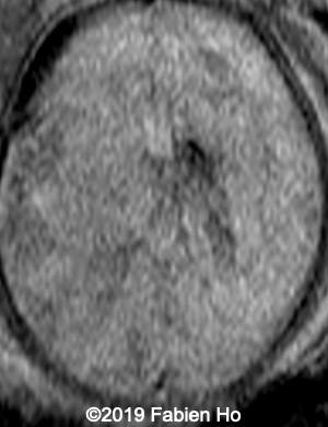
Axial T2*w: T2* sequence is used in this case for its susceptibility to magnetic field inhomogeneity, i.e. to iron deposits for example. It is used to depict hemosiderin, which is roughly oxidized blood, i.e. “aged” blood. Blood MRI signal evolves as time passes.

6
7

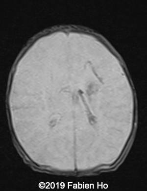
Axial T1

8
9

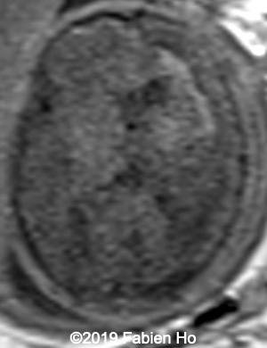
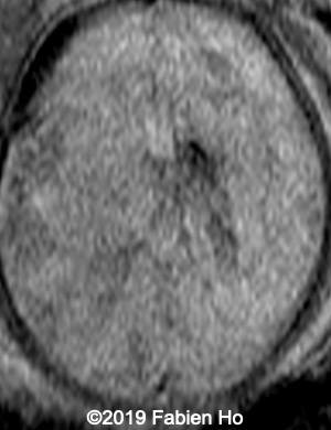
Axial DWI (diffusion weighted imaging): DWI is sensitive to cytotoxic cell edema, found in brain ischemia, among other things.

10
11

Our diagnosis was hence fetal stroke: probably ischemic stroke with secondary hemorrhagic transformation (hemorrhagic stroke could also be a possibility although the absence of mass effect and central lucency without hemorrhagic signal make this hypothesis less likely). Besides, in most pediatric and fetal clastic lesions, hemorrhage and ischemia are associated.

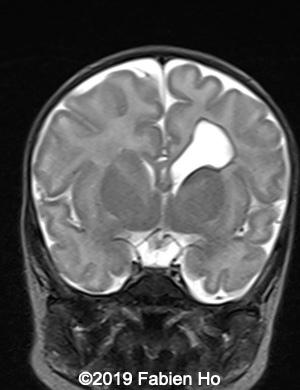
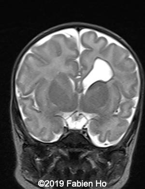
Images 12-16: we performed a second fetal brain MRI at 32 weeks, which showed the same findings as the postnatal neonatal brain MRI as follows:
The evolution of the images is typical of a clastic lesion: after resorption of the ischemic tissue and hematoma, there was now a focal porencephaly with hemosiderin tattooing on its margins. Conversely, persistence of the same MRI findings would have indicated an hypercellular brain tumor, which could have been a differential diagnosis.

12
13
14
15
16

The child was delivered normally at 38 weeks of pregnancy. Neonatal clinical examination was normal. Neurological development will be under close watch for the next few years.

We screened both child and mother for infectious causes (CMV, toxoplasmosis, syphilis, CMV, hepatitis B, rubeola, Parvovirus B19), for alloimmune thrombocytopenia and for autoimmune diseases: the extensive screening did not pick up any risk factor.

Fetal stroke has been associated with postnatal epilepsy, mental retardation, and cerebral palsy. The entity is caused by antenatal ischemic, thrombotic, or hemorrhagic injury. Although roughly half of the cases are idiopathic, the most common maternal conditions associated with fetal stroke are alloimmune thrombocytopenia and trauma. Fetal and paediatrics stroke display different patterns from those expected in adult patients: lenticulostriate territory is often involved. For more information, refer to the references below.

Ozduman K, Pober BR, Barnes P, Copel JA, Ogle EA, Duncan CC, Ment LR. Fetal stroke. (2004) Pediatric neurology. 30 (3): 151-62.
https://doi.org/10.1016/j.pediatrneurol.2003.08.004
https://www.ncbi.nlm.nih.gov/pubmed/15033196

Li C, Miao JK, Xu Y, Hua YY, Ma Q, Zhou LL, Liu HJ, Chen QX. Prenatal, perinatal and neonatal risk factors for perinatal arterial ischaemic stroke: a systematic review and meta-analysis. (2017) European journal of neurology. 24 (8): 1006-1015.
https://doi.org/10.1111/ene.13337
https://www.ncbi.nlm.nih.gov/pubmed/28646492

Discussion Board

Start a discussion about this case
Add to Favorites Favorite

Menu