Case of the Week # 386

Girish Patel

January 15, 2015 - January 29, 2015

Girish Patel, MD.

Sharda Nursing Home (Sharda Charitable Trust), 1st Floor, Opp. Bus-stand, Saskrut Complex, Visnagar 384315, North Gujarat, India.
 

Case report

Following images and videos show an interesting cardiac anomaly. 

Images 1, 2

1
6
 

Images 3. 4, 5

3
4


5


Images 6, 7, 8

8
9


 
10


Videos 1-6







View the Answer Hide the Answer

Answer

Following images and videos show a case of double inlet left ventricle with transposition of the great arteries that was seen at 26 and 36 weeks of otherwise non-complicated pregnancy.

Images 1, 2, 3, and 4: 2D images showing transverse scan of the heart with double inlet left ventricle and transposition of the great arteries. Following structures can be seen: dominant enlarged left ventricle (LV); diminutive right ventricle (RV) connected to the left ventricle via small bulboventricular foramen; both, left atrium (LA), and right atrium (RA) open to the left ventricle via separate tricuspid and mitral valves; foramen ovale flap can be seen within the left atrium; enlarged pulmonary artery (PA) arises from the left ventricle; small part of the aorta (Ao) arising from the diminutive right ventricle can be also seen.

01
02


06
07


Images 5, 6, 7: 2D color Doppler images showing the heart with double inlet left ventricle and transposition of the great arteries. Image 5 shows filling of the left ventricle via separate mitral and tricuspid valves (doubled red flow). Images 6 and 7 shows parallel arrangement of the aorta and pulmonary artery (blue flows).

03
04


05


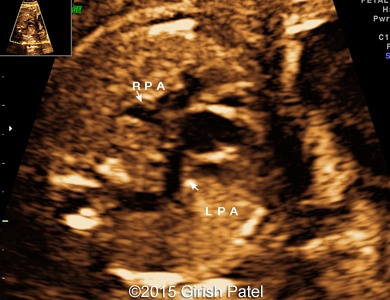
Images 8, 9, 10: 2D gray scale and color Doppler images showing the heart with double inlet left ventricle and transposition of the great arteries - the images 8 and 9 show mitral and tricuspid valves opened to the left ventricle. The image 10 shows branching of the pulmonary artery (RPA, LPA), arising from the dominant left ventricle.

08
09


 
10


Videos 1-7: Gray scale and color Doppler videos showing video-loops of the heart with double inlet left ventricle and transposition of the great arteries. Following structures can be seen: dominant enlarged left ventricle, diminutive right ventricle connected to the left ventricle via small bulboventricular foramen; both, left atrium and right atrium are opening to the left ventricle via separate tricuspid and mitral valves; foramen ovale flap can be seen within the left atrium; enlarged pulmonary artery arises from the left ventricle in parallel arrangement with a smaller aorta arising from the diminutive right ventricle.










Note from the website's editors
Philippe Jeanty, Frantisek Grochal

Drawings 1, 2: Schematic drawings explaining two variants of the double inlet left ventricle:

Based on the relationship of the great arteries, Van Praagh et al. [1] distinguished three types of the double inlet left ventricle:

Type I (not depicted by the drawings) has normally related great arteries. Double inlet left ventricle combined with hypoplastic subpulmonary, rightward right ventricle and normally related great arteries (type I) is classically referred to as the “Holmes heart”.

Type II - drawing 1 shows the arrangement of the structures as they were seen in the case of the week described above and corresponds to the type II of the Van Praagh classification - rightward and anterior aorta and rightward right ventricle (usually presents as a diminutive outlet chamber) - D-looped ventricles and D-transposition of the great arteries.
 
Type III - drawing 2 shows more common type of double inlet left ventricle - type III of the Van Praagh classification, with leftward anterior aorta and left-sided, subaortic, hypoplastic right ventricle (L-loop ventricles) and L-transposition of the great arteries.

Rare forms of the double inlet left ventricle may include:
 - double-outlet arterial connections, with both great arteries arising from the rudimentary right ventricular chamber;
 - single-outlet connection (with pulmonary atresia or, rarely, truncus arteriosus).

LA - left atrium; RA - right atrium; FO - foramen ovale; MV - mitral valve; TV - tricuspid valve; BVF - bulboventricular foramen; LV - left ventricle; RV - right ventricle; PA - pulmonary artery; Ao - aorta.

DILV-TGA-normal-ventricular-arrangement
DILV-TGA-reversed-ventricular-arrangement


References

1 Van Praagh R, Van Praagh S, Vlad P, et al.: Diagnosis of the anatomic types of single or common ventricle. Am J Cardiol. 15:345-366 1965.

Discussion Board

Start a discussion about this case
Add to Favorites Favorite

Menu