Case of the Week # 374

Cunderlik A, Holan M, Gottschallova A, Klesken P, Rusnak I, Plank K, Mlynarcikova, Jezberova, Andrisova, Cajkova, Uherkova, Cigel

July 24, 2014 - August 07, 2014

Anton Cunderlík, MD; Michal Holán, MD; Anna Gottschallová, MD; Peter Klesken, MD; Igor Rusnák, MD; Karol Plank, MD; J. Mlynarcíková, MD; M. Jezberová, MD; J. Andrisová, MD; J. Cajková, MD; M. Uherková, MD; V. Cigel, MD.

1.gyn.pôr.klinika LF SZU a Univerzitná nemocnica Bratislava, Kramáre; Medifera s.r.o., DFNsP BA.

Case report

A 30-year-old woman (G1P0| presented to our department at 21 and 30 weeks of gestation. Our examination revealed following findings:

Image 1: 21 weeks of gestation.

Fig01


Image 2, 3, 4, 5, 6, 7: 30 weeks of gestation.

Fig02
Fig03


Fig04
Fig05


Fig06
Fig07


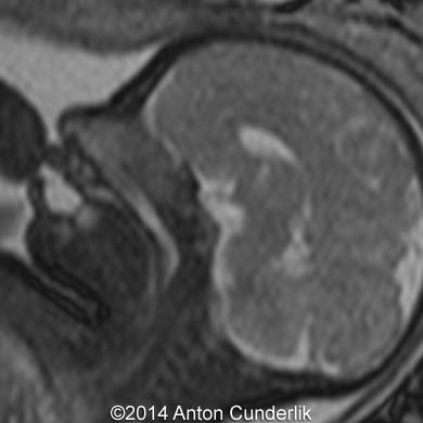
Image 8, 9, 10: 33 weeks of gestation; MRI.

Fig09b
Fig10b


Fig08


View the Answer Hide the Answer

Answer

2014-06-22-09 Answer to the case of the week #374 © Cunderlik www.TheFetus.net 

Answer to the case of the week #374

July 24, 2014 - August 07, 2014

Anton Cunderlík, MD; Michal Holán, MD; Anna Gottschallová, MD; Peter Klesken, MD; Igor Rusnák, MD; Karol Plank, MD; J. Mlynarcíková, MD; M. Jezberová, MD; J. Andrisová, MD; J. Cajková, MD; M. Uherková, MD; V. Cigel, MD.

1.gyn.pôr.klinika LF SZU a Univerzitná nemocnica Bratislava, Kramáre; Medifera s.r.o., DFNsP BA. Slovakia

 

Case report

A 30-year-old woman (G1P0| presented to our department at 30 weeks of gestation. Her previous ultrasonographic scan at 20 weeks was normal.

Our examination revealed a cystic, biloculate structure within fetal tongue. MRI imaging confirmed the finding. The newborn was delivered at term via cesarean section (male, 3210 g, 50 cm, Apgar score 10/10).

The finding was confirmed and the newborn underwent surgical removal of the cyst. Histopathological diagnosis of the structure was thyroglossal cyst of the tongue.

Image 1: 21 weeks of gestation. Normal fetal profile, no anomalies were found during the scan.

Fig01


Image 2, 3, 4, 5, 6, 7: 30 weeks of gestation; the images show cystic structure within the fetal tongue that later turned out to be thyroglossal cyst.

Fig02
Fig03


Fig04
Fig05


Fig06
Fig07


Image 8, 9, 10: 33 weeks of gestation; MRI images showing the cystic structure within the fetal tongue representing thyroglossal cyst.

Fig09b
Fig10b


Fig08


Image 11, 12, 13: Postnatal images of the newborn with macroglossia caused by the thyroglossal cyst (images 11, 12 - before operation, image 13 - three months after surgical removal of the cyst).

Fig11
Fig12


Fig13


Discussion Board

Start a discussion about this case
Add to Favorites Favorite

Menu