Case of the Week # 337

Nguyen Ha, MD


January 31, 2013 - February 14, 2013

Nguyen Ha, MD

Director of Imaging diagnostic department,Tu Du hospital, Hochiminh, Vietnam

Case report

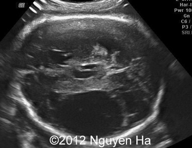
A 30-year-old woman (G1P0), with unremarkable family history, presented to our unit at 36 weeks of her pregnancy. She did not undergo any previous screening tests. Our examination (and repeated scan after four days) revealed following findings:

Figures 1-7: 36 wekks of pregnancy.

1(1)
2(1)


3
4


5
6


7


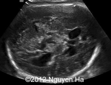
Figures 8-15: 4 days later - 37 weeks of pregnancy.

1_1
1_10


1_2
1_3


1_6
1_9


1_4
1_5


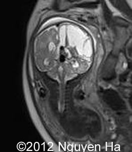
Figures 16-21:Prenatal MRI.

CT_1
CT_2
CT_3


CT_4
CT_5
CT_6

View the Answer Hide the Answer

Answer

Case report:

A 30-year-old woman (G1P0), with unremarkable family history, presented to our unit at 36 weeks of her pregnancy. She did not undergo any previous screening tests. Our examination revealed unilateral hypoechoic inhomogeneous mass within cerebral parenchyma. Our initial diagnosis was teratoma, but repeated exam after four days showed structural changes and different echogenicity of the mass and so our final diagnosis was cerebral hemorrhage. The findings were confirmed by MRI scan.

Figure 1-7: 36 wekks of pregnancy.

1(1)
2(1)

3
4


5
6


7


Figure 8-15: 4 days later; image 1-4 suggesting a middle cerebral artery infarction with formation of schizencephaly, no more cortex at the level of the insula.

1_1
1_10


1_6
1_3


1_2
1_9
 

1_4
1_5

Figure 16-21:MRI after the first ultrasound 4 days suggesting a hematoma on the left side of the brain.

CT_1
CT_2
CT_3
CT_4
CT_5
CT_6

Discussion Board

Start a discussion about this case
Add to Favorites Favorite

Menu