Case of the Week # 323

Fabrice Cuilier, MD, Midwife Mardamootoo D.

July 19th, 2012 - August 2th, 2012 

Case report:

A 26 year-old patient, with unremarkable history, no familial consanguinity was referred to for a fetus with abnormal intestinal dilatation at 28 weeks. The first ultrasonography was normal. The nuchal translucency was 1 mm (CRL = 62 mm). The triple test was 1:190. An amniocentesis was performed. The fetal karyotype was 46XY.

Here are the images 1-9: 

At 28 weeks

1A

At 33 weeks

3A
3B
8B

At 35 weeks

4B
5D
8A
7A(1)

At 38 weeks

8D

Image 10-11:Prenatal MRI

9B
9A

Video clip:

View the Answer Hide the Answer

Answer

Case report:

This case refers to cystic fibrosis and meconium ileus at 35 weeks with abnormal intestinal dilatation discovered at 28 weeks. There is no familial consanguinity. The first ultrasonography was normal. The nuchal translucency was 1 mm (CRL = 62 mm). The triple test was 1/190. An amniocentesis was performed. The fetal karyotype was 46XY. The second fetal ultrasonography was normal (22 weeks).

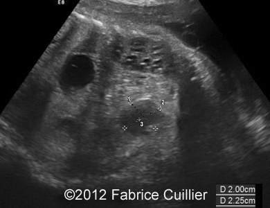
At 28 weeks, ultrasound examination revealed an abnormal fetus, with moderate polyhydramnios, moderate ileal and jejunal dilatation (Image 1) with normal peristalsis. There was no pyelectasy. There were no other dysmorphologic signs of aneuploidy. There was no sign of meconium peritonitis. There was no sign of congenital infection. The maternal serological status did not show any sign of maternal infection (TORCH and Parvovirus B19). Our first hypothesis of diagnosis was congenital chloride or sodium diarrhea. But sodium and chloride level in amniotic fluid were normal (results from first amniocentesis).

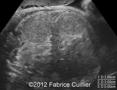
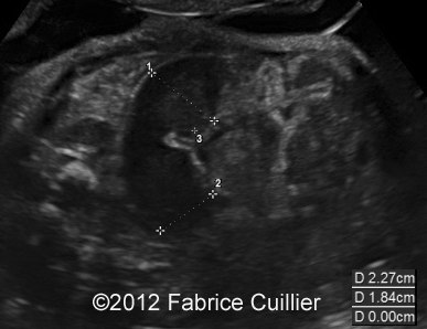
At 32 weeks, the aspect of the intestinal dilatation changed. Low digestive obstruction was suspected (Image 2, 3), with important aggravation at 35 weeks (Image 4). Mesenteric artery and vein had a physiological position (Image 5). Fetal ears and face were normal. Corpus callosus was present (Image 6). The extremities were also normal. Sex was male with bilateral hydrocele (Image 7). Abdominal fetal MRI was performed (Image 8, 9).

Image 1: At 28 weeks and 29 weeks, moderate ileal and jejunal dilatation.

1A
1B(1)

Image 2, 3: Slightly intestinal obstruction at 32- 33 weeks.

3A
3B

Image 4: At 35 weeks.

4B

Image 5: Mesenteric artery and vein had a physiological position. 

8A

Image 6: Corpus callosus was present .

5D

Image 7: Sex was masculine with bilateral hydrocele. 

7A(1)

Image 8, 9: Abdominal fetal MRI  showed isolated intestinal dilatation with meconium inside. 

9B
9A

After discussion with the parents, another amniocentesis was proposed and performed. Chlorine and sodium levels were also normal. Digestive enzymes were normal.

The diagnosis of cystic fibrosis was suspected and confirmed. DeltaF508 mutations were present in both parents.

At 38 weeks, the dilatation has increased with significant meconium retention.

Image 10, 11: At 38 weeks, dilatation has increased with significant meconium retention.

8B
8D

The fetus was born at 38 weeks and was not operated. Medical treatment of meconium ileus was enough. Cystic fibrosis was confirmed.

Discussion Board

Start a discussion about this case
Add to Favorites Favorite

Menu