Case of the Week # 262

Catherine Garel, MD*, Antoinette Bernabe Gelot, MD, PhD**, Marie-Laure Moutard, MD***, Romulus Grigorescu, MD****, Luc Gourand,MD*****

February, 18, 2010 - March 4, 2010

*      Radiology Department, Hopital A.Trousseau AP-HP
**     Neuropathology Departement, Hopital A.Trousseau AP-HP 
***    Neuropediatrics Department, Hopital A.Trousseau AP-HP
****   Foetopathology Department, Hopital A.Trousseau AP-HP
*****  Maternité Les Bluets, Paris

Case report

The following images represent a rare brain anomaly which was diagnosed at 23 weeks of gestation.

A consanguineous 32-year old woman  (G2P1, one healthy boy from the previous pregnancy), with non-contributive history (no diabetes, no teratogenic exposure) was referred  to our unit at 23 weeks for a second opinion ultrasound examination regarding the cerebral structures of the fetus. No other anomaly (in the face or extremities) was found. Karyotype of the fetus was normal: 46 XY.

Ultrasound examination revealed the following findings:

Images 1-4: Ultrasound images at 23 weeks.

Case262_1
Case262_2
Case262_6
Case262_5

Images 5,6: Images show a Doppler imaging at 23 weeks.

Case262_3
Case262_4

Images 7-10: MRI at 23 weeks.

Case262_7
Case262_8
Case262_9
Case262_10

Images 11,12: Images 11,12 show the neuropathology specimen.

Case262_11
Case262_12

View the Answer Hide the Answer

Answer

The following images represent an interesting case of Syntelencephaly (Midline Interhemispheric Fusxion - MIH).

Case report

A consanguineous 32-year-old woman  (G2P1, one healthy boy from the previous pregnancy), with non-contributive history (no diabetes, no teratogenic exposure) was referred  to our unit at 23 weeks for a second opinion ultrasound examination regarding the cerebral structures of the fetus. No other anomalies (in the face or extremities) were found.
Karyotype of the fetus was normal: 46 XY.

Ultrasound examination revealed the following findings:

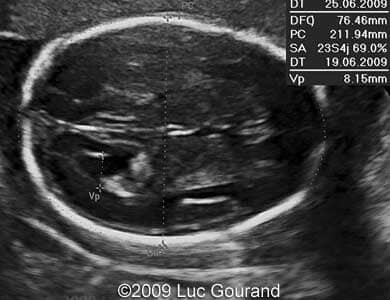
Images 1,2: Image 1 shows an axial plane of the brain, thalami are well separated, cavum septi pellucidi is not seen. Image 2 shows the confluence of the posterior horns of the lateral ventricles.

Case262_1
Case262_2

Images 3,4: Image 3 shows the confluence of the posterior horns of the lateral ventricles. Image 4 shows the absence of corpus callosum, the arrows indicate a wavy hypoechogenic structure in the mid-line, which could be detected on the MRI as well (see Image 7).

Case262_6
Case262_5

Images 5,6: Doppler imaging of the mid-sagittal plane, the "pericallosal artery" has an unusual distribution, the wavy hypoechogenic structure in the position of the corpus callosum which is absent, is marked by *.

Case262_3
Case262_4

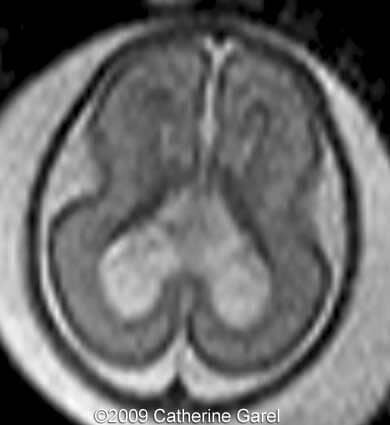
Images 7,8: MRI Image 7 shows a wavy midline structure which was detected on the ultrasound images (Images 4,6), the structure is hypodense on the MRI images. Image 8 shows an interhemispheric fissure in the anterior and posterior region.

Case262_7
Case262_8

Images 9,10: Images 9, 10 show a fusion in the posterior frontal and parietal regions, indicated by arrows.

Case262_9a
Case262_10a

Images 11,12: Images 11,12 show the neuropathology specimen, sliced at the same plane is the MRI images above, see arrows.

Case262_11b
Case262_12a

Images 13,14: Image 13 shows a fetal brain, midline interhemispheric fusion is demonstrated by insertion of the paper which does not get in between the hemispheres in the middle but frontal and posterior part of the hemispheres are well separated; Image 14 shows a microscopic image of the brain tissue, slice B corresponds with the same plane as at the images 9, 11, slice D corresponds with the images 10, 12; slice C shows a dorsal cortical bridge and slice E fornix.

Case262_14a
Case262_13

After the pregnancy termination we found out that the fetus was positive for the ZIC2 mutation, heterozygous.  ZIC2 is the mutation in the zinc finger transcription factor gene. It is located in the 13q32 region which was defined as a region responsible for the brain malformations. ZIC2 mutation is associated with holoprosencephaly.

Discussion

Syntelencephaly was originally thought to be a semilobar holoprosencephaly type, but has been determined to be a unique malformation.
Syntelencephaly is a rare anomaly characterized by fusion of the hemispheres in the posterior frontal and parietal lobes and is considered a 4th variant of holoprosencephaly.

Synonyms: Middle interhemispheric variant of holoprosencephaly

Definition

Morphogenetic disorder with fusion caused by the failure of separation of dorsal brain, typically with wide separation of basal forebrain
Location of hemispheric fusion helps distinguish classic holoprosencephaly (basal forebrain) from syntelencephaly (dorsal brain). There is usually the absence of the body of the corpus callosum but presence of the genu and splenium.
The long axis of the sylvian fissures may be rotated 90 degrees from its typical position and then both sylvian fissures are continuous across the midline over the vertex of the brain.

Etiology

Holoprosencephaly has no single cause, but about half of all cases are associated with abnormal karyotype (e.g., trisomy 13 and trisomy 15). It can also run in families as an autosomal dominant, autosomal recessive, or X-linked recessive trait. 
Molecular diagnosis of HPE (e.g. SIX3, ZIC2, TGIF1, SHH genes) is currently under evaluation in many countries
Risk is increased in case the mother has diabetes. The use of certain type of drugs or other substances during pregnancy (e.g., alcohol, aspirin, lithium, thorazine, anticonvulsants, hormones, retinoic acid) has also been suggested as a risk factor.

Differential diagnosis: other subtypes of holoprosencephaly (alobar, semilobar and lobar form), septo-optic dysplasia, septal agenesis, schizencephaly.

Prognosis

Children with holoprosencephaly have many neurological problems including mental retardation, spasticity, athetoid movements, seizure disorders, endocrinologic dysfunction and facial dysmorphic features.
This translates into a slightly different clinical profile of patients with middle interhemispheric variant of holoprosencephaly as compared to holoprosencephaly. Various authors have found absence of endocrinopathy in middle interhemispheric variant of holoprosencephaly in comparison to the classic subtypes which likely correlate with the lack of hypothalamic abnormalities. Choreoathetosis and  developmental delay in middle interhemispheric variant of holoprosencephaly is usually absent or less severe than in case of semilobar holoprosencephaly.

References

1. Volpe P, Campobasso G, De Robertis V, Rembouskos G.Disorders of prosencephalic development. Prenat Diagn. 2009 Apr;29(4):340-54.
2. Dubourg C, Bendavid C, Pasquier L, Henry C, Odent S, David V. Holoprosencephaly. Orphanet J Rare Dis. 2007 Feb 2;2:8.
3. Lewis AJ, Simon EM, Barkovich AJ, Clegg NJ, Delgado MR, Levey E, Hahn JS. Middle interhemispheric variant of holoprosencephaly: a distinct cliniconeuroradiologic subtype. Neurology. 2002 Dec 24;59(12):1860-5.
4. Fernandes M, Hébert JM. The ups and downs of holoprosencephaly: dorsal versus ventral patterning forces. Clin Genet. 2008 ;73 : 413-23.

Discussion Board

Start a discussion about this case
Add to Favorites Favorite

Menu