Case of the Week # 241

S. Manohar, DMRD, MD.

April 9 - April 23, 2009

S. Manohar, DMRD, MD.

India.

Case report

The following images show an interesting case diagnosed in our department.

Images 1, 2: Fetal face (image 1) and a detailed view on the fetal eye (image 2).

1-b
6

Images 3, 4: Image 3 - sagittal scan of the fetal head (left part of the image) and coronal scan of the fetal mouth (lips) - umbilical cord near the mouth is also visible (right part of the image). Image 4 shows coronal scan at the level of the fetal lips.

3
7

Images 5, 6, 7: Images show fetal feet (image 5) and hands (images 6, 7).

5
4

2

Images 8, 9, 10: A few scans of the fetal body.

8-b
9-b

10-b

Images 11, 12, 13: 3D images of the fetal face.

11
12

13
 

View the Answer Hide the Answer

Answer

Case Report

The following images show a case of Harlequin-type ichthyosis (harlequin ichthyosis, ichthyosis congenita, ichthyosis fetalis, keratosis diffusa fetalis) diagnosed in our department.

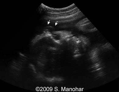
Images 1, 2: The images show an edema of the fetal eyelid"s ectropion (arrows).

1
6

Images 3, 4: The image 3 shows a sagittal scan of the fetal head with protruding tongue (left part of the image). The right part of the image 3 and the image 4 represent a coronal scan at the level of the fetal lips, which are turned outward (so called "eclabion"). Hyperechoic incisor teeth can be seen in the opened mouth. 

3
7

Images 5, 6, 7: The image 5 shows short fetal feet with flexed toes. The image 6 shows clenched hands cowered by edematous skin. The image 7 shows the clenched hands (left part of the image) and a coronal scan at the level of the fetal mouth with protruding tongue (right part of the image).

5
4

2

Images 8, 9, 10, 11, 12, and 13: The images shows discontinuities of the skin surface (arrows), a typical sign of the Harlequin type ichthyosis.

8-b
8

9-b
9

10-b
10

Images 14, 15, 16: 3D scans; the image 14 shows fetal face with the everted lips ("eclabion"); the image 15 shows fetal profile with absent ear; and the image 15 shows fetal face with eyelid edema and outward everted lower eyelid ("ectropion").

11
12

13
 

Images 17, 18, 19, 20, 21, ad 22: Postnatal appearance of the neonate with the Harlequin type ichthyosis.

17
18

21
22

19
14

Discussion Board

Start a discussion about this case
Add to Favorites Favorite

Menu