Case of the Week # 210

Andrey Volkov, MD, PhD; Elena Andreeva, MD; Alexander Rymashevsky, MD, PhD

January 17, 2008 - January 31, 2008

Andrey Volkov, MD, PhD*; Elena Andreeva, MD**; Alexander Rymashevsky, MD, PhD***.

* Department of Obstetric and Gynecology. Rostov Medica University, Rostov on Don, Russia;
** Medical Genetic Center, Gomel, Belarus;
*** Maternity Hospital 5, Rostov on Don, Russia.

Case report

A 26-year old G1P0 from a nonconsanguineous couple (husband 35 years old), with noncontributive history, presented to our unit at 30 weeks of pregnancy. Our ultrasound examination revealed following findings.

Images 1, 2:

1
2

Images 3, 4: 

3
4

Images 5, 6

5
6

Images 7, 8:

8
14

Images 9, 10:

7
13

View the Answer Hide the Answer

Answer

Case report

A 26-year old G1P0 from a nonconsanguineous couple (husband 35 years old), with noncontributive history, presented to our unit at 30 weeks of pregnancy. Our ultrasound examination revealed following findings:

  • Cloverleaf shaped skull;
  • Lobar holoprosencephaly;
  • Syndactyly and broad thumbs;
  • Exophtalmia and hypertelorism;

The diagnosis of Pfeiffer syndrome (type II) was proposed. The neonate was delivered at 32nd week after premature rupture of membranes (1800 g; 39 cm; Apgar 1, 3) and died early after delivery. Pathological study confirmed the diagnosis.

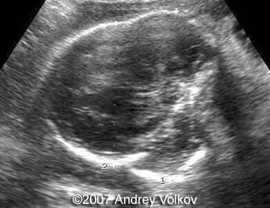
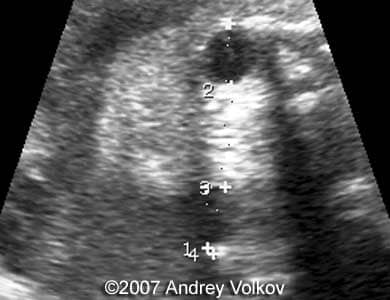
Images 1, 2: 30 weeks of pregnancy; Image 1 shows cloverleaf shaped fetal skull. Image 2 shows transverse scan through the fetal skull with lobar holoprosencephaly.

1
2

Images 3, 4: 30 weeks of pregnancy; Image 3 shows coronal scan through the fetal face with hypertelorism and exophtalmus. Image 4 shows detailed view of the fetal orbits with hypertelorism.

3
4

Images 5, 6: 30 weeks of pregnancy; Images show syndactyly and broad thumbs of the hands.

5
6

Images 7, 8: Postnatal X ray images of the skull; Image 7 shows cloverleaf shaped appearance of the skull.

8
14

Images 9, 10: Postnatal X ray image of the fetal hand and feet. Image 10 show broad thumb of the hand.

7
13

Images 11, 12: Postnatal appearance of the hands.

9
10

Image 13: Postnatal image of the neonate.

12

 

Discussion Board

Start a discussion about this case
Add to Favorites Favorite

Menu