Case of the Week # 20

Sandra Silva, MD and Philippe Jeanty, MD, PhD

March 3-17, 2000

Sao Paolo, Brazil

A 21-year-old G3P2, was referred at 8 months gestation for ultrasound evaluation of the limbs, suspected to be short. That was the first child of the couple, but both partners had healthy children in previous marriages. Her past and prenatal histories were unremarkable except for smoking one pack of cigarettes per day.

The examination revealed a single live gestation at 35 weeks, with multiple anomalies. All limbs below the 5th percentile

The arm:

case0020-1

Humerus

case0020-2

Femur

case0020-3

One hand

case0020-4

The other:

case0020-4b

Other view of that same hand

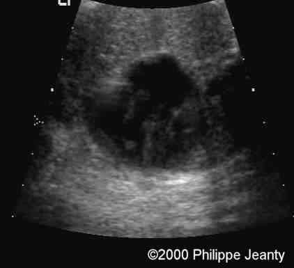
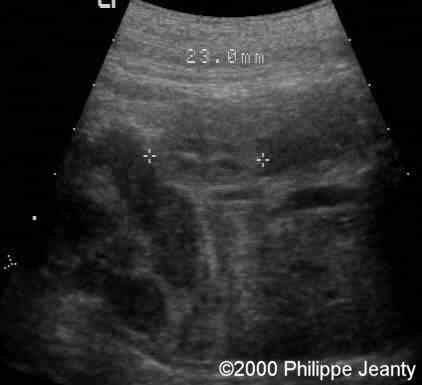
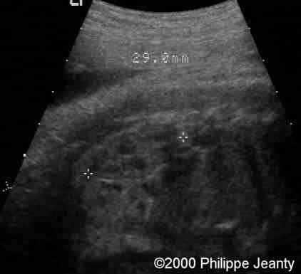
case0020-5

One kidney

case0020-6a

The other

case0020-6b

The atrium

case0020-7

The head with measurements of the biparietal diameter and occipitofrontal diameter

case0020-8

The mouth

case0020-9

Two views at the level of the 4-chamber of the heart.

case0020-10a
case0020-10b

A commonly performed diagnostic procedure was then performed. The result of that procedure was normal.

By the way, for all of you who might think that I find all these diagnoses: I do not ! I completely missed this one and I fully expect to be mortified by all the good answers that this group typically suggest.

View the Answer Hide the Answer

Answer

A 21-year-old G3P2, was referred at 8 months gestation for ultrasound evaluation of the limbs, suspected to be short. That was the first child of the couple, but both partners had healthy children in previous marriages. Her past and prenatal histories were unremarkable except for smoking one pack of cigarettes per day.

The examination revealed a single live gestation at 35 weeks, with multiple anomalies. All limbs below the 5th percentile

The arm demonstrates too much soft tissue on a too short skeletal frame.

case0020-1

Humerus and femur (below) are too small (see chart below).

case0020-2

Femur

case0020-3
a-case1

The femur (and humerus are way below the 5th percentile).

One hand demonstrated a clear simian crease

case0020-4

The other had both a simian crease and an unusual overlapping of the fingers viewed in this image and in the next (clinodactyly of the 5th finger)

case0020-4b

Other view of that same hand: note the clinodactyly.

case0020-5

One kidney length was 23 mm (5th percentile: 36mm, mean: 41, 95th percentile: 46mm)

case0020-6a

The other is 29 mm. So both kidneys are just a little above half the normal size ! Surprisingly this was not recognized by many.

case0020-6b

The atrium was distended at 14 mm.

case0020-7

The head with measurements of the biparietal diameter and occipitofrontal diameter. Note that the BPD is well below the 5th percentile but not as far as the limbs

case0020-8
a-case2

The mouth has a "downturned" appearance to the corners.

case0020-9

Two views at the level of the 4-chamber of the heart demonstrate a large atrioventricular septal defect

case0020-10a
case0020-10b

Because of the combination of an atrioventricular septal defect, short limbs and mild ventriculomegaly a trisomy 21 was strongly suspected and an amniocentesis was performed and the result of that procedure was normal.

Findings

Of course everyone recognized that the fetus had

·        too short limbs and had

·        a large atrioventricular septal defect. But fewer took into account that the baby

·        was growth-retarded (head and limbs below the 5th centile) and that

·        the kidneys were hypoplastic.

Differential diagnoses

Many people considered the short-limbs only and suggested the various forms of Short rib polydactyly syndromes. These babies have very narrow chest which was not the case of this fetus (look at the heart sections). Short limbs and a cardiac anomalies that is surely a good indicator of Ellis van Crevelt syndrome. But this syndrome has short ribs and renal hypoplasia is not a feature of this syndrome.

Now I feel odd to suggest how to find the diagnosis when I missed it myself (great another "expert†!) but if we look at OMIM (I know I know I live in that OMIM!) and include in the search criteria
"short limbs renal hypoplasia heart defect growth retardation"

The following 13 diagnoses are suggested:

#194050 WILLIAMS-BEUREN SYNDROME; WBS
#180849 RUBINSTEIN SYNDROME
*277170 VARADI-PAPP SYNDROME
#270400 SMITH-LEMLI-OPITZ SYNDROME; SLOS
#146510 PALLISTER-HALL SYNDROME; PHS
#192430 VELOCARDIOFACIAL SYNDROME
*227650 FANCONI ANEMIA, COMPLEMENTATION GROUP A; FANCA
269150 SCHINZEL-GIEDION MIDFACE-RETRACTION SYNDROME
#118450 ALAGILLE SYNDROME; AGS
218600 CRANIOSYNOSTOSIS WITH RADIAL DEFECTS
*142987 HOMEO BOX D1; HOXD1
#182290 SMITH-MAGENIS SYNDROME; SMS
*218330 CRANIOECTODERMAL DYSPLASIA

It takes a lot of time to read all theses syndromes so I usually go to the clinical synopsis first to see if there is something very different or similar to the current case.

Of these syndromes, the fourth listed fits the finding best. This was indeed a case of Smith-Lemli-Opitz syndrome. Very ironically, the very first paper my wife and I published 23 years ago (Jeanty P, Delbeke D, Lemli L, Dorchy H Smith-Lemli-Optiz syndrome without failure to thrive. Acta Paediatr Belg 1977 Jul-Sep;30(3):175-8) was on the same subject... Dr. Lemli who was back from the US in Belgium at that time had kindly agreed to assess a newborn with his eponym condition.

Discussion Board

Start a discussion about this case
Add to Favorites Favorite

Menu