Case of the Week # 176

Debabrata Das, MD, Vaijayanthi Raja, MD

September 15 -28, 2006

Debabrata Das, MD, Vaijayanthi Raja, MD
India

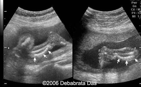
Case report : This is a 22-year-old primigravida referred for a routine anomaly scan at 22 weeks of gestation. She has a family history of  consanguinity. The ultrasound findings were.....

1

2

3

5

View the Answer Hide the Answer

Answer

Case report: This is a 22-year-old primigravida referred for a routine anomaly scan at 22 weeks. She has a family history of consanguinity. Our scan revealed significant lower limb shortening. The femur and tibia showed bilateral bowing. Fibulae appeared normal. The mineralization of the bones was adequate. The upper limbs seemed normal. The axial skeleton showed 11 pair of ribs. No abnormal fetal chest narrowing. Fetal facial features were unremarkable. A camptomelic dysplasia was suspected. The pregnancy was interrupted. The radiograms showed bilateral bowing and shortening of tibia and femur.

Camptomelic Dysplasia or "bent limb dysplasia" is a rare autosomal dominant condition. In most cases it results from a new dominant mutation. Some authors have classified the disease into two varieties, depending on the type of limb involvement in the pathological process:

  • long limbed
  • short limbed

The characteristic skeletal features are short and ventrally bowed tibia and femurs, hypoplastic or absent fibulas and hypoplastic scapulae. The gene responsible for camptomelic dysplasia is sex determining protein homeobox 9 or SOX9 which is expressed in the fetal brain, testis and perichondrium and chondrocytes of long bones / ribs.

1

2

3

5

Discussion Board

Start a discussion about this case
Add to Favorites Favorite

Menu