Case of the Week # 168

Cuillier F, MD, Avignon MS, MD

May 26 - June 8,  2006

Cuillier F, MD, Avignon MS, MD

* Department of Gynecology, Félix Guyon’Hospital, Ile de la Réunion, France.** Gynecologist, Moufia’street, Ile de la Réunion, France.

A 30-year-old woman, gravida 2, para 1, was referred  to our institution at 28 weeks to perfom an anomally scan. The following brain images were obtained:

1

7

2
3

4
5

6
8

9

View the Answer Hide the Answer

Answer

Case report:  This is a 30-year-old woman, G2P1, referred at 28 weeks to our institution due to a toxoplasmosis seroconversion. The course of pregnancy and family history were uneventful.

On November 1st 2005, the serological test for toxoplasmosis (IgG and IgM) was negative. The next serology was performed on January 20th 2006. The IgG level for toxoplasmosis was >500UI/ml and the IgM = 13UI/ml.

An ultrasound examination was performed in our unit at 30 weeks to evaluate the fetal anatomy. An abdominal scan demonstrated a bilateral hydrocephaly associated with echogenic signs on the brain suggestive of calcifications.

An additional endovaginal scan was performed. There were one large cyst on the right hemisphere and multiple peripheral cysts. The corpus callosum artery was identified. Fetal biometry was in concordance with the gestational age. Karyotyping was offered (46XX). A PCR was performed in the amniotic fluid sample. The result was positive for the Toxoplasma gondii DNA.

Follow-up scans at 30 and 31 weeks demonstrated a progressive hydrocephaly. An MRI was performed. The parents were informed about the fetal prognostic. They decided to interrupt the pregnancy (girl, 1500 g). They refused the anatomical-pathological examination. The fetus did not have any external anomalies.

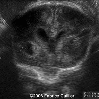
Serial coronal ultrasound view at 30 weeks showing bilateral ventriculomegaly

1

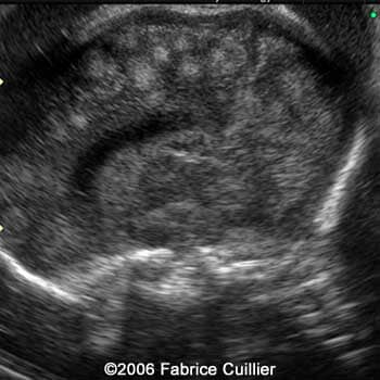
Anterior and coronal scan at 30 weeks showing right toxoplasmosis abscess and marked echogenic areas

2
3

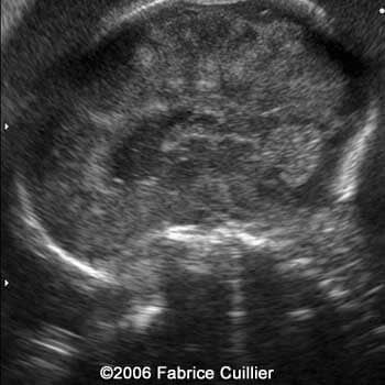
Right parasagittal scan at 30 weeks showing ventriculomegaly, echogenic areas and anterior parasagittal marked hyperechogenecity zone

4
5

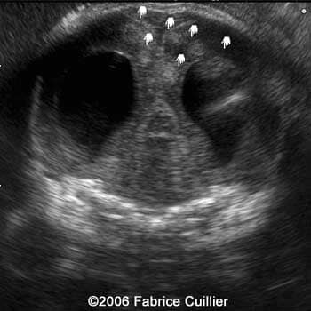
Left image: Left parasagittal view at 30 weeks showing anterior parasagittal hyperechoic areas. Right image: Bilateral parasagittal view at 30 weeks

6
7

Brain sagittal scan at 30 weeks showing the corpus callosum artery

8
9

MRI at 30 weeks showing parasitic cystic abscess on the parenchyma brain and partial left cerebellar hypoplasia

11
12

These findings were suggestive of Fetal Toxoplasmosis which was confirmed.

Discussion Board

Start a discussion about this case
Add to Favorites Favorite

Menu