Case of the Week # 164

Fabrice Cuillier, MD

March 31 - April 13, 2006

Fabrice Cuillier, MD

Hospital Félix Guyon, Reunion Island, France

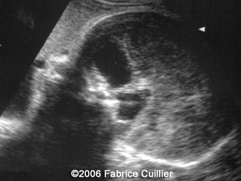
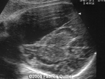
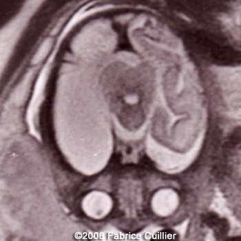
The following images are obtained in a 3rd trimester fetus:

1
2

3
4

5
6

7
8

 

View the Answer Hide the Answer

Answer

The following images are obtained in a 3rd trimester fetus:

1
2

3
4

5
6

7
8

9
10

The final diagnosis was: Arachnoid cyst

Discussion Board

Start a discussion about this case
Add to Favorites Favorite

Menu