Case of the Week # 1

Jeanty

17-year-old primigravida.

No anamnestic information of interest.

This examination is obtained at 18 weeks amenorrhea.

What is your suspected diagnosis ? How would you confirm it ?

image2
image3
image4
image5

View the Answer Hide the Answer

Answer

Case #1: Answer

Observations

Many of you came up with numerous abnormal findings and indeed this baby had many including:

  • abnormal fingers,
  • micrognathia,
  • abnormal cardiac axis
  • small stomach
  • large eyes and possibly buphophtalmos
  • many other small findings…

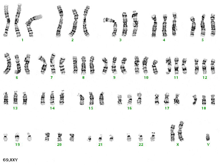
Very logically this led many of you to think that a multiorgan syndrome like this could be an aneuploidy and suggested trisomy 13 and trisomy 18. And indeed the procedure to confirm the suspicion was to do a karyotype.

Very few, however, made the most crucial observation: the great disproportion between the head and abdomen. That disproportion is very typical of triploidy (see the lecture on aneuploidy for another example) and I know of no other conditions where such a big difference exist without a concomitant intracranial anomaly such as hydrocephaly, or teratomas… Of course, one of you will come up with a great differential diagnosis and then we will learn even more !

Thus starting the differential diagnosis with triploidy, all the rest of the findings fits quite nicely in the diagnosis.

This is the karyotype of the fetus (courtesy of Dr. Dev from Genetics Associates of Nashville).

image51

And these are some photographs of the fetus. Notice the cephalo-abdominal disproportion, the micrognathia, and the very typical syndactyly of the 3rd and 4th finger.

image52
image53

The cardiac axis is a little offset and the interventricular septum incomplete

image54
image55

A scandal gap…and the corresponding path picture.

image56

Too small stomach.

image57

The typical syndactyly of the 3rd and 4th finger.

image58
image59

An enlarged eye, and mainly the disproportion between the head-abdomen size.

image60

The appearance of the fetus.

Teaching point: A head much greater than the abdomen is a strong sign of triploidy.

Submitted by Philippe Jeanty, MD, PhD

June 1999

Correct answers were made by:

Mary C. Scarboro RNC RDMS
Donna Hale, RDMS

References

Although commonly encountered in spontaneous abortions, triploidy is rarely seen in fetuses surviving beyond mid-pregnancy. Mid-trimester sonographic findings in three triploid fetuses are described and compared with those reported in six prior cases. While sonographic characteristics are variable, common features include: 1) second trimester-onset fetal growth retardation with a reduced growth potential pattern of anthropometric growth, 2) body asymmetry with relative macrocephaly and an elevated head:abdominal circumference ratio, 3) hydrocephalus, 4) oligohydramnios, and 5) an abnormally large and/or hydropic placenta (in cases of paternal origin). Genetic amniocentesis and amniotic fluid chromosome studies should be performed when ultrasound findings suggestive of fetal triploidy are identified.

Crane JP, Beaver HA, Cheung SW: Antenatal ultrasound findings in fetal triploidy syndrome. J Ultrasound Med 1985 Oct;4(10):519-24

OBJECTIVE: Our objective was to determine the incidence and pattern of chromosomal abnormalities in fetal growth retardation. STUDY DESIGN: Blood karyotyping was performed in 458 fetuses referred to us for further assessment of growth retardation at 17 to 39 weeks" gestation. RESULTS: The fetal karyotype was normal in 369 and abnormal in 89 (19%) of the cases. The most common chromosomal defect in the group referred at < 26 weeks" gestation was triploidy; in those referred at > or = 26 weeks, it was trisomy 18. The incidence of fetal autosomal chromosome aberrations increased, whereas the incidence of triploidy did not change, with maternal age. Ninety-six percent of chromosomally abnormal fetuses had multisystem fetal defects that were characteristic of the different types of chromosomal abnormalities. Compared with those fetuses with a normal karyotype, the chromosomally abnormal group had a higher mean head circumference/abdominal circumference ratio, a higher incidence of normal or increased amniotic fluid volume, and normal waveforms from the uterine or umbilical arteries or both. CONCLUSION: The findings of the different types of chromosomal abnormalities and their ultrasonographically detectable phenotypic expression provide the background for prospective studies to determine the incidence of chromosomal abnormalities in unselected populations of small-for-gestational-age fetuses.

Snijders RJ, Sherrod C, Gosden CM, Nicolaides KH Fetal growth retardation: associated malformations and chromosomal abnormalities. Am J Obstet Gynecol 1993 Feb;168(2):547-55

Between 1981 and 1991, 461 pregnant women between 15 and 40 weeks of gestation (mean 30 weeks) with completed follow-up were referred to our centre for prenatal diagnosis because of a small-for-gestational age (SGA) fetus or combined SGA and structural abnormality. The referral diagnosis was based either on biparietal diameter measurements or on measurement of the upper-abdominal circumference. SGA in our centre was defined as a fetal upper-abdominal circumference below the tenth centile. SGA was confirmed by ultrasound in 75 per cent of the fetuses, whilst combined SGA and fetal structural abnormality was substantiated in only 16 per cent of the fetuses. However, in our centre structural abnormality was detected in 34 fetuses who were referred because of SGA alone. Nearly half of the structurally normal SGA fetuses displayed a normal head-to-abdomen (H/A), ratio, whereas an increased H/A ratio was found in 13/15 fetuses with an abnormal karyotype. An abnormal karyotype was present in 20 fetuses, which is 7 per cent of the total SGA population. Nearly 50 per cent represented triploidy associated with oligohydramnios. SGA was confirmed by a birth weight below the tenth centile in 89 per cent, below the fifth centile in 77 per cent, and below the 2.3rd centile in 55 per cent of infants. Structural abnormality was confirmed in 65 per cent of infants, whereas in 19 per cent of infants the abnormality was missed or a misclassification was made. Perinatal mortality was 31 per cent for all SGA fetuses, 27 per cent for SGA fetuses without anomalies, and 64 per cent for SGA fetuses with structural abnormality.

Heydanus R, Van Splunder IP, Wladimiroff JW: Tertiary centre referral of small-for-gestational age pregnancies: a 10-year retrospective analysis. Prenat Diagn 1994 Feb;14(2):105-8

Triploidy is not rare and present in about 1% of all recognized human pregnancies, although most of these pregnancies end in spontaneous abortion during the first trimester. Survival of the fetus up to 20 weeks or beyond is rare. Therefore, liveborn infants with triploidy are very rare. Here is a report on a female liveborn infant with triploidy (69,XXX), who was born to a 27-year-old healthy mother. The clinical features are growth retardation, head-to-body disproportion, wide posterior fontanelle, hypertelorism, micrognathia, bilateral pre-auricular polyps, syndactyly of left 3rd and 4th fingers, syndactyly of right 2nd and 3rd fingers and talipes equinovarus. The infant died 4 hours after birth. The autopsy revealed transposition of great vessels, ventricular septal defect, one lobe of left lung and 2 lobes of right lung and duodenal atresia.

Yeh HY, Shen SY: A liveborn infant with triploidy (69, XXX): report of one case. Chung Hua Min Kuo Hsiao Erh Ko I Hsueh Hui Tsa Chih 1994 Nov-Dec;35(6):559-64

Jeanty: The ultrasound detection of chromosomal anomalies: A Multimedia lecture. (1999)

Discussion Board

Start a discussion about this case
Add to Favorites Favorite

Menu