Autosomal recessive polycystic kidney disease

Lech Dudarewicz, MD.

Polish Mother"s Memorial Hospital, Department of Genetics, Lodz, Poland

Case report

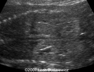
Here are some second trimester ultrasound images of anhydramnios caused by autosomal recessive polycystic kidney disease.

Images 1, 2: Coronal planes through the fetal kidneys with echogenic parenchyma.

1
3

Images 3, 4: Parasagittal planes through the fetal kidneys with echogenic parenchyma.

4
5

Discussion Board

Start a discussion about this article
Add to Favorites Favorite

Menu